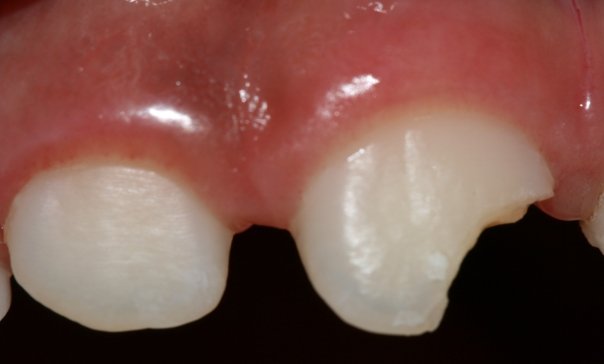
Con los niños siempre hay accidentes y lastimosamente las fracturas en los dientes anteriores son de las más comunes en la práctica dental. En este caso se decidio hacerle unas incrustaciones tipo carilla o mitad corona y con una base de Ionómero de vidrio. Se utilizó ceromero que es un tipo de resina con el que se hacen rellenos blancos.... Sigueme en el blog! gracias.
Recomendaciones para Evitar la Caries
- Visita a tu dentista por lo menos 1 vez al año.
- Realiza limpieza dental profunda 2 veces al año y lo más importante incluir la aplicación tópica de flúor.
- Lava tus dientes 3 veces al día.
- Utiliza hilo dental por lo menos una vez al día.
- Utiliza un enjuague dental con flúor.
- Coloca sellantes de fosas y fisuras en tus molares ya que son las piezas que poseen anatomía con fosas y fisuras, allí es donde se acumulan las bacterias.
- Puedes incluir pasta con mas ppm de flúor. (Si en tu localidad el agua es fluorada esto no es necesario)
- Para los niños podemos incluir enjuagues semanales de flúor.
![]() |
| Para pacientes con xerostomia |
¿Cómo se forma la Caries Dental?
Te invito a suscribirte al blog!
Si uno de estos factores faltan la caries no se da... increíble no?
- El Diente:
- Es el huésped, sin él no hay diente que se pique.
- El diente tiene sus propios factores que pueden hacerlo mas propenso a la caries
- Morfología
- fisuras
- pozos
- fosas
- textura del esmalte
- Su posición en el arco
- Si el diente esta en mala posición muchas veces es difícil su limpieza y esto lo hace más propenso a acumular bacteria y restos alimenticios.
- Saliva
- Su acción buffer controla el pH de la boca. El pH para el desarrollo de la caries es 5.5 - 5.7. El pH se torna ácido cada vez que comemos algo dulce o con azúcar.
- La saliva también ayuda a remineralizar el diente pues ya que contiene flúor, calcio y fósforo pero si uno acaba de comer y no se lavo los dientes pues la saliva se tarda más en lograr esto.
- Actúa como barrido mécanico ya que ella tambien lava los dientes y los tejidos de la boca. Un adulto produce normalmente 1.5 Litros de saliva diarios. Cuando el flujo de saliva dsiminuye (xerostomia) el índice de caries aumenta.
- Substrato
- La dieta pues tiene mucho que ver en la formación de caries. Si nosotros tenemos una dieta rica en azúcares así sera la cantidad de caries que tengamos en boca.
- De la dieta depende que tipo bacterias estara más activa. Y las bacterias serán más cariogénicas o menos cariogénicas.
- Microorganismos
- Los microorganismos, la dieta y la saliva forman la placa dentobacteriana la cual es una acumulación heterogenea porque esta formada una comunidad variada de bacterias y polimeros de la saliva.
- La placa madura es una placa que ya lleva mucho tiempo formandose y no solo la cantidad varia sino alli mismo cambia hasta el tipo de bacteria que puede ser más patógena.
- Tiempo
- Para que los factores anteriores cumplan su efecto para formar caries el tiempo es primordial. Osea el tiempo que tiene para actuar cada uno.
- El primer signo de caries se da a las 3 semanas.
- Una caries diagnosticada de forma clínica con certeza entre los 18 a 24 meses.
Suscribirse a:
Comentarios (Atom)











